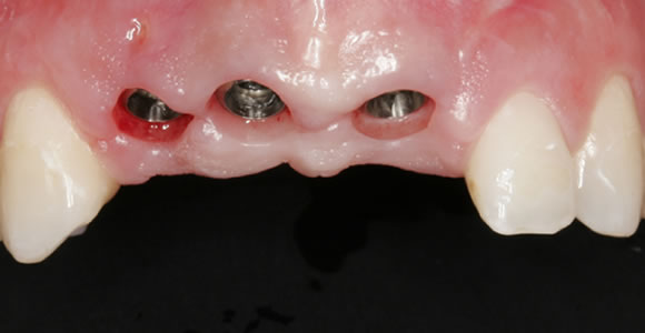
Schaltlücke
Fehlen in der Mitte der Zahnreihe mindestens 2 Zähne spricht man von einer Schaltlücke. Es handelt sich also um eine sehr große Zahnlücke. Wenn die Nachbarzähne gesund sind und nicht überkront werden sollen, kann die Schaltlücke durch das Setzen von Implantaten geschlossen und so die Kaureihe wiederhergestellt werden.












