Schaltlücke

Fehlen in der Mitte der Zahnreihe mindestens 2 Zähne spricht man von einer Schaltlücke. Es handelt sich also um eine sehr große Zahnlücke. Wenn die Nachbarzähne gesund sind und nicht überkront werden sollen, kann die Schaltlücke durch das Setzen von Implantaten geschlossen und so die Kaureihe wiederhergestellt werden.

 

Beispiele von Schaltlücken

Beispiel 1: Schaltlücke Unterkiefer und Einzelzahnlücke Oberkiefer

Schaltlücke Unterkiefer und Einzelzahnlücke Oberkiefer Kronenaufbauten (Modellansicht) Ansicht der Einheilkappen im Mund Zementierte natürlich wirkende Kronen

 

Beispiel 2: Schaltlücke in der Oberkieferfront I

Schaltlücke in der Oberkieferfront Ansicht der Zahnimplantate Eingesetzte Kronenaufbauten Eingesetzte Kronen

 

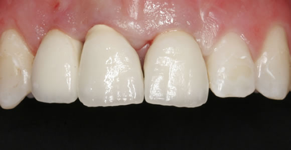
Beispiel 3: Schaltlücke in der Oberkieferfront II

Implantate im Mund Eingesetzte Kronenpfosten und Überprüfen des korrekten Sitzes Eingesetzte Kronen